コンテンツへスキップ

超音波が切り拓く
新たな診断の世界

Ultrasonics in Medicine

確かな知識と技術、その先にある未来へ確かな知識と技術、その先にある未来へ
超音波の“学習・スキル習得”は

UlPathUlPath

超音波のオンライン学習プラットフォーム

UlPath(ウルパス)は「超音波を学びたい人」に開かれた、オンライン学習プラットフォームです。超音波技術の基礎から専門的な応用まで、段階的な学習プロセスに応じたコンテンツや、超音波医学の専門家として必要な知識・技能の習得を目指すためのコンテンツなど広く収載していきます。

超音波を学ぶ
確かな知識と技術、その先にある未来へ確かな知識と技術、その先にある未来へ

超音波医学の進歩を
世界に発信する

公益社団法人 日本超音波医学会 理事長

岩永 史郎

埼玉医科大学国際医療センター心臓内科

理事長挨拶
超音波医学を一緒に学びませんか?超音波医学を一緒に学びませんか?

超音波医学を
一緒に学びませんか?

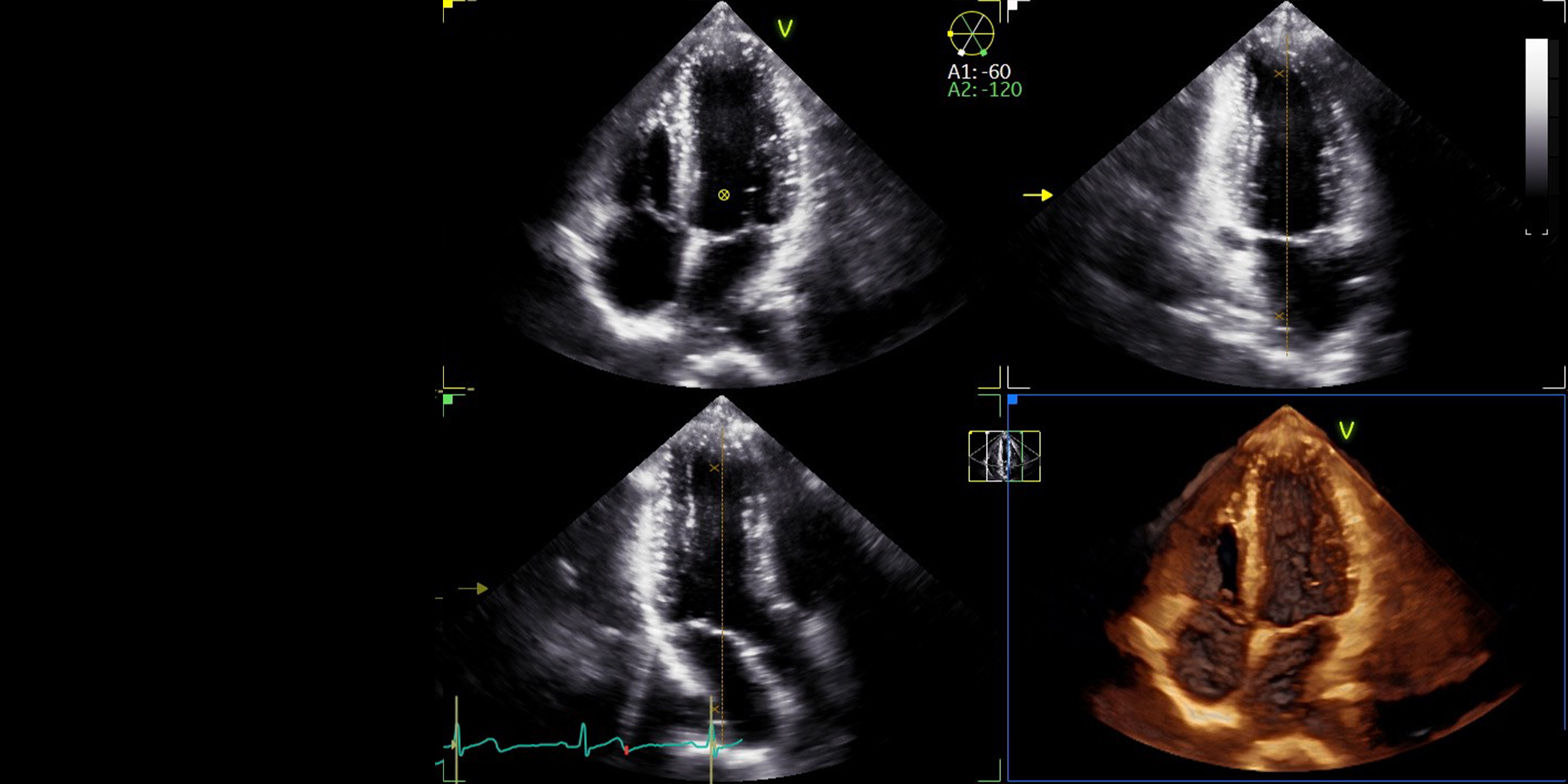
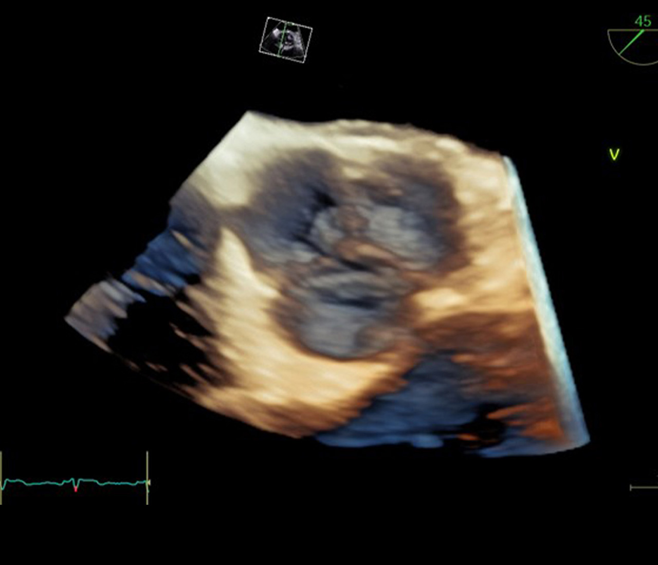
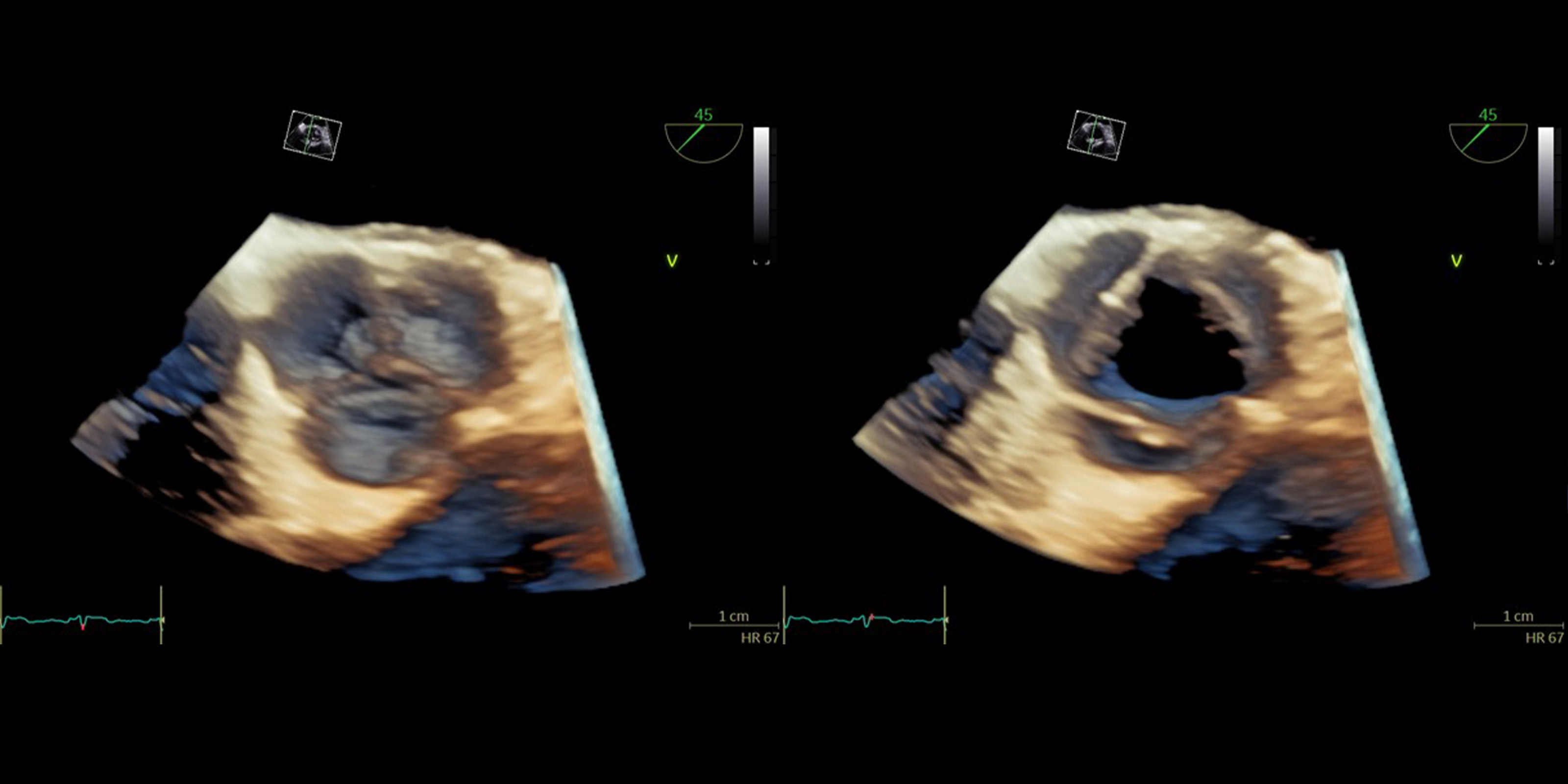
健康診断から、妊娠・出産、がん治療、心血管手術など、超音波検査は医療の様々な領域で広く利用されています。
超音波医学の分野で、新しい検査法・治療法の開発、医療への応用を進める研究者や医師を育成するための場である学会へ入会いただき、様々な教育プログラムを体験してみてください。

入会について詳しく知る