Micro B-flowにてThreads and streaks signを観察しえた肝細胞癌の一例
はじめに
このたびは、日本超音波医学会第13回新人賞という栄えある賞を頂戴し、感謝ならびに喜びの気持ちでいっぱいです。今回新人賞を受賞するに至ったのはひとえに熱心にご指導下さった先生方のおかげです。この場をお借りして心より御礼を申し上げます。今後も今回の受賞を励みとして日々の臨床に励んで参りたいと思います。折角の機会ですので、今回の受賞内容について誌面をお借りしてご紹介させて頂きます。
Ⅰ.背景
高感度ドプラ技術は空間分解能、時間分解能が高いことが特徴¹⁾であり、カラードプラでは描出が困難であった微小な血管も描出が可能である。肝細胞癌におけるThreads and streaks signは門脈または肝静脈腫瘍栓部で血管の長軸方向に見られる糸を束ねたような所見²⁾で、従来の超音波血流イメージングでの描出は極めて困難であった。今回Threads and streaks signをMicro B-flowの積算像で糸状に描出しえた肝細胞癌の1例を経験したため報告する。
Ⅱ.症例
症例は52歳の女性。痔核に対する術前評価目的で腹部単純CT検査を施行された際に、偶発的に肝右葉に占拠性病変を指摘され当科を紹介され受診した。多発肝細胞癌と診断し、以降は当科で化学療法やTACEを行い加療中であった。経過中に肝細胞癌の増大傾向があり新規化学療法導入目的に入院した。
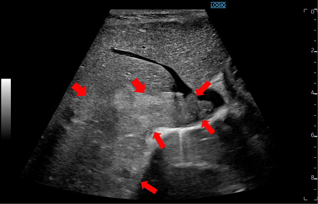
Ⅲ.画像所見
腹部造影CT検査で、肝右葉を占める塊状型肝細胞癌がみられ、右肝静脈から下大静脈に至る腫瘍浸潤ならびに門脈腫瘍栓が指摘された(図1)。腹部超音波検査ではBモードで下大静脈から右肝静脈にかけて進展する占拠性病変がみられた(図2)。上腸間膜動脈からの血管造影検査では門脈内に陰影欠損像が描出されたが、明らかなThreads and streaks signは指摘できなかった(図3)。



Ⅳ.造影超音波像ならびにMicro B-Flow像
造影超音波検査を施行したところ、右肝静脈の腫瘍栓内に糸状の高エコー像が描出された。同病変に対して高感度ドプラ技術を用いて観察を行ったところ、腫瘍栓内に多数の糸状の血管が描出された(画像については参考文献4にて報告済みであり、割愛とさせて頂きます)。
おわりに
腫瘍内の血流パターンを評価することで診断の一助とすることが可能であり、造影CT/MRI検査といったモダリティが利用できない患者において、高感度ドプラ技術は有用である³⁾。
医療工学の領域は日々進歩するものと考えられ、新規技術を適切に診療へ活用したい。
参考
- 松本 直樹. “高感度ドプラ技術と臨床の最新動向” INNERVISON 2023; 38(5): 44-45.
- Bjorn-Werner Raab. “The Thread and Streak Sign” Radiology 2005; 236: 284-285.
- Siddhi Chawla, Binit Sureka, et al. “Threads and Streaks Sign” Middle East Journal of Digestive Diseases 2022; 14(3): 361-362.
- Masashi Hirooka, Yoichi Hiasa. “Thread and Streak Sign at Microvascular Flow Imaging and Contrast-enhanced US” Radiology 2023; 308(3):e230961.

和泉 翔太(市立宇和島病院 内科)
